고양이비만세포종은 고양이의 건강에 심각한 영향을 줄 수 있는 질병입니다. 이 글에서는 고양이비만세포종의 증상과 예방 방법에 대해 쉽게 이해할 수 있도록 설명합니다.
고양이비만세포종 정의
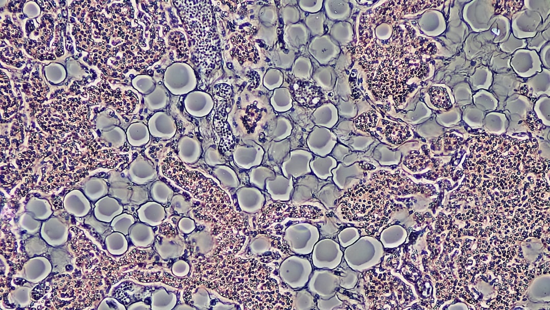
고양이비만세포종은 고양이의 비만세포에서 발생하는 림프종으로, 종종 피부에 나타나는 경우가 많습니다. 고양이의 면역체계에서 비만세포는 알레르기 반응이나 염증에 중요한 역할을 합니다. 하지만 이 비만세포가 비정상적으로 증가하면 다양한 증상을 유발할 수 있습니다. 고양이비만세포종은 특정한 원인이 없지만 유전적, 환경적 요인이 복합적으로 작용하여 발생할 수 있습니다. 여러분의 고양이도 이러한 위험에 처할 수 있으니, 예방과 조기 발견이 중요합니다!

일반적으로 고양이비만세포종의 경우 활성화된 비만세포가 우리 몸의 각 조직에 영향을 미치면 염증 반응을 일으킬 수 있습니다. 그래서 급격한 체중 변화나 피부 발진 등이 발생할 수 있습니다. 여러분이 사랑하는 고양이의 건강을 지키기 위해 언젠가 이런 증상을 가질 수 있다는 점을 기억해야 합니다. 다음은 고양이비만세포종의 증상에 대해 자세히 알아보겠습니다.
고양이비만세포종 증상
가장 일반적인 증상
고양이비만세포종의 가장 일반적인 증상으로는 피부 발진과 가려움증이 있습니다. 고양이가 자주 긁거나 핥는 모습을 본 적이 있으신가요? 이는 피부에 비만세포가 염증 반응을 일으켜 발생하는 증상 중 하나예요. 이러한 증상은 고양이가 자신을 가려울 정도로 심해질 수 있으며, 피부에 궤양이나 발적이 생길 수도 있습니다. 이럴 때는 반드시 수의사와 상담해야 합니다!
또한, 체중 감소와 식욕 부진도 고양이비만세포종의 흔한 증상입니다. 비만세포가 지속적으로 증가하는 과정에서 고양이의 신체는 다양한 경로로 이들 세포와 싸우기 때문에, 에너지를 씁니다. 고양이비만세포종으로 인해 에너지를 소모하게 되고, 결국 체중 감소로 이어질 수 있습니다. 여러분, 고양이가 통통했다가 갑자기 마른다면 진찰을 받는 것이 좋겠습니다.
심각한 증상
고양이의 경우, 고양이비만세포종이 진행됨에 따라 심각한 증상으로 체내 다양한 장기의 비대 또는 염증이 발생할 수 있습니다. 이런 상태에서는 고양이가 쉽게 피곤해하고 무기력해지며 격렬한 운동 후에도 회복이 느릴 수 있어요. 이러한 변화는 고양이의 일상생활에 영향을 미치게 되는 점이 슬프죠.
간혹 고양이의 몸에서 통증이 느껴질 수도 있으며, 세포가 혈액 속으로 확산된 경우 당연히 더 복잡한 문제가 발생할 수 있습니다. 고양이가 신경계에 영향을 받게 되면, 신경증상으로 인해 성격이 좋아지거나 불안해질 수 있어요. 즉, 고양이비만세포종으로 인한 신경계 증상은 고양이의 행동 변화로 나타날 수 있습니다.

고양이비만세포종 예방
예방을 위한 관리 방법
가장 먼저 할 수 있는 것은 고양이를 정기적으로 체중 측정하고 건강 검진을 받는 것입니다. 고양이비만세포종과 같은 질병은 크게 다가오지 않지만, 작은 변화라도 주의 깊게 살펴보면 조기 발견할 수 있습니다. 비만세포종 발생 위험 요소도 다루기 위해 식이요법이 중요해요. 고양이의 체중을 관리하고, 이상적인 체중으로 유지하는 것이 그들을 보호하는 예방법입니다.
또한, 스트레스 관리는 너무나 중요한 부분입니다. 고양이는 스트레스에 매우 민감한 동물로, 환경의 변화와 사람과의 관계에서도 أن파모변화가 나타납니다. 따라서, 고양이의 생활 환경을 안정적으로 유지하기 위해 노력해주시면 좋습니다. 예를 들어, 잦은 이사나 가족구성의 변동은 고양이에게 불안감을 줄 수 있으니, 최대한 적게 일어나는 것이 좋습니다.
수술적 치료 방법
고양이비만세포종 진단 후, 심한 경우에는 수술이 필요할 수 있습니다. 고양이비만세포종 수술을 통해 호전된 사례도 많아 주저하지 않고 수의사와 상담하는 것이 중요합니다. 수술 후에는 회복을 위한 관리가 필요하므로 이해와 인내가 따라야 합니다. 여러분의 고양이 건강을 지키는 방법, 얼마나 심양적으로 적용하고 계신가요?
또한, 수술 후 약물치료도 일어날 수 있으니 정기적으로 동물병원을 방문해 주세요. 수술과 재활 기간 동안에는 특별한 관리와 사랑이 필요합니다. 고양이가 더욱 편안한 환경에서 지낼 수 있도록 여러분이 보살펴야 할 것입니다.
추천 글
기업부설연구소 설립 전 알아야 할 필수 체크리스트
기업부설연구소 설립을 계획하면서 알아둬야 할 필수 체크리스트와 세부 요건, 운영 관리 방안에 대해 안내합니다. 이제 기초부터 시작해 보세요!기업부설연구소란?기업부설연구소는 기업이
beauty00.com
KC인증마크 획득으로 신뢰성 높이는 방법과 절차
KC인증마크를 획득하는 과정과 그로 인해 신뢰성을 높이는 방법을 알아보자. 세부 절차와 함께 이를 통해 얻는 이점에 대해 설명할 것이다.KC인증마크의 중요성여러분, 제품을 구매할 때 신뢰할
beauty00.com
FSSC22000 최신 인증 동향과 영향 분석
FSSC22000 인증은 식품 품질 및 안전을 보장하는 핵심 프레임워크입니다. 최신 동향과 영향 분석을 통해 각 기업이 인증획득에 대한 최신 정보와 중요성을 알아보세요.📚 FSSC22000 개요FSSC22000은 식
beauty00.com
결론
고양이 비만세포종은 우리의 고양이에게 다양한 위험 요소를 가져와요. 하지만 적절한 예방과 조기 발견으로 우리는 이를 관리할 수 있습니다. 고양이의 건강을 지키기 위해 조금씩 실천해보세요. 그들의 건강은 여러분이 얼마나 사랑하고 관심을 기울인지에 따라 달라질 수 있습니다!
FAQ
Q. 고양이비만세포종의 초기 증상은 무엇인가요?
A. 피부 발진이나 가려움증, 체중 감소 등이 초기 증상입니다.
Q. 고양이비만세포종은 유전인가요?
A. 유전적, 환경적 요인이 복합적으로 작용하여 발생할 수 있습니다.
Q. 고양이비만세포종의 치료 방법은 어떻게 하나요?
A. 수술 및 약물치료, 식이요법을 통해 관리할 수 있습니다.
사랑하는 고양이의 건강을 위해, 오늘도 많은 관심과 사랑을 보내주세요!
댓글